Advertisement

Endometriosis Gross : Tvj2dd8nqudurm / Although the endometrial tissue can implant anywhere, the condition is most commonly seen in some pelvic sites such as the.

Endometriosis Gross : Tvj2dd8nqudurm / Although the endometrial tissue can implant anywhere, the condition is most commonly seen in some pelvic sites such as the.. Endometriosis the blood is darker and gives the small foci of endometriosis the gross appearance of powder burns. It affects 10% of women of childbearing age, and the malignant transformation rate of endometriosis is as high as 0.8% to 1.0%. Symptoms are absent in about half of women with ureteral disease, whereas 25% have flank pain and 15% gross hematuria. The prevalence of endometriosis is difficult to determine accurately. Acog experts have been discussing how and for whom this treatment might be appropriate in women with endometriosis.

Endometriosis is a condition described as growth of ectopically located endometrial tissue in sites other than uterine cavity. The purpose of this study is to evaluate the diagnosis of endometriosis by gross visualization and compare to histologic evaluation during laparoscopic resection. Many patients with ute are asymptomatic until the disease is severe. What are the abnormality seen? Endometriosis the blood is darker and gives the small foci of endometriosis the gross appearance of powder burns.

Colonic Resection Specimen From A Patient With Colonic Endometriosis Download Scientific Diagram
Colonic Resection Specimen From A Patient With Colonic Endometriosis Download Scientific Diagram from www.researchgate.net
In brief, endometriosis is a disease where the cells that line the uterine wall grow outside of the uterus and attach themselves to anything they can find. What are the clinical features associated with the lesions? Although the endometrial tissue can implant anywhere, the condition is most commonly seen in some pelvic sites such as the. But you don't hear that much about it. The amount of pigment in the implant appears to increase with the age of the lesion. But the pain can be caused by another condition, such as fibroids, which are noncancerous growths of the muscle tissue of the uterus. Endometriosis the blood is darker and gives the small foci of endometriosis the gross appearance of powder burns. By better understanding the polymorphic appearance of endometriosis, it will improve our diagnostic potential without having to rely on pathology.

Small foci are seen here just under the serosa of the posterior uterus in the pouch of douglas.

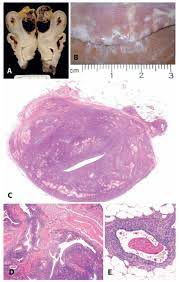
Griffith founded the lab in 2009 with the goal of helping researchers solve endometriosis, a chronic disorder in which tissue similar to that which normally lines the uterus instead grows. The rafs (or rasrm) staging system is the one most used in surgical research. Endometrial glands and stroma plus hemosiderin in deeper layers of colon; Endometrioid adenocarcinoma of the ovary. Dysplastic and normal cervical squamous epithelium, low power microscopic. It affects 10% of women of childbearing age, and the malignant transformation rate of endometriosis is as high as 0.8% to 1.0%. Often infiltrates along nerves of bowel wall ( hum reprod 2004;19:996 ) mucosa. That's a lot of women. What causes the appearance that named as above? But the pain can be caused by another condition, such as fibroids, which are noncancerous growths of the muscle tissue of the uterus. The most common symptoms are dysmenorrhea, dyspareunia, and low back pain that worsen during mense … The purpose of this study is to evaluate the diagnosis of endometriosis by gross visualization and compare to histologic evaluation during laparoscopic resection. What is the name usually given for this lesion?

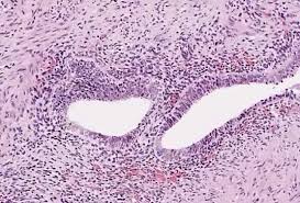
Bloating is also associated with the condition, and while it causes. The purpose of this study is to evaluate the diagnosis of endometriosis by gross visualization and compare to histologic evaluation during laparoscopic resection. Endometriosis is a gynecological disease characterized by ectopic growth of endometrial glands and stroma outside the uterus. Usually surrounded by smooth muscle. The color is attributed to hemolyzed blood from ectopic endometrium that is encapsulated by adhesions or fibrotic tissue.

Endometrial Ovarian And Cervical Cancer
Endometrial Ovarian And Cervical Cancer from www.clevelandclinicmeded.com
Dysplastic and normal cervical squamous epithelium, high power microscopic. The color is attributed to hemolyzed blood from ectopic endometrium that is encapsulated by adhesions or fibrotic tissue. The rafs (or rasrm) staging system is the one most used in surgical research. What is the name usually given for this lesion? Endometriotic implants vary from punctate foci to small stellate patches (usually less than 2 cm). Usually surrounded by smooth muscle. Endometriosis is found predominantly in women of childbearing age. So one in 10 women have endometriosis.

Acog experts have been discussing how and for whom this treatment might be appropriate in women with endometriosis.

Below is a selection of pictures of endometriosis that have been taken during an operation. Small foci are seen here just under the serosa of the posterior uterus in the pouch of douglas. The gross appearance of endometriotic implants typically has been described as bluish gray, dark brown, or black powder burn lesions (fig. It is useful in comparing the gross appearance at the beginning of surgery and is somewhat predictive of surgical difficulty. Symptoms are absent in about half of women with ureteral disease, whereas 25% have flank pain and 15% gross hematuria. Endometrioid adenocarcinoma of the ovary. In response to hormonal shifts, these abnormal growths cause a great deal of pain and scarring within the abdominal cavity. Many patients with ute are asymptomatic until the disease is severe. Acog experts have been discussing how and for whom this treatment might be appropriate in women with endometriosis. These pictures will give you some idea of what endometriosis actually looks like. The purpose of this study is to evaluate the diagnosis of endometriosis by gross visualization and compare to histologic evaluation during laparoscopic resection. Griffith founded the lab in 2009 with the goal of helping researchers solve endometriosis, a chronic disorder in which tissue similar to that which normally lines the uterus instead grows. Endometriosis is found predominantly in women of childbearing age.

What are the abnormalities 2. Endometrioid adenocarcinoma of the ovary. By better understanding the polymorphic appearance of endometriosis, it will improve our diagnostic potential without having to rely on pathology. Endometriosis is found predominantly in women of childbearing age. It affects 10% of women of childbearing age, and the malignant transformation rate of endometriosis is as high as 0.8% to 1.0%.

Adenomyosis Wikipedia
Adenomyosis Wikipedia from upload.wikimedia.org
If one in 10 women have it, you'd think that everybody would be talking about it. It affects 10% of women of childbearing age, and the malignant transformation rate of endometriosis is as high as 0.8% to 1.0%. In brief, endometriosis is a disease where the cells that line the uterine wall grow outside of the uterus and attach themselves to anything they can find. So one in 10 women have endometriosis. Endometriotic implants vary from punctate foci to small stellate patches (usually less than 2 cm). Endometriosis is a gynecological disease characterized by ectopic growth of endometrial glands and stroma outside the uterus. Endometriosis the blood is darker and gives the small foci of endometriosis the gross appearance of powder burns. Many patients with ute are asymptomatic until the disease is severe.

Endometriosis is one cause of severe menstrual pain.

Bloating is also associated with the condition, and while it causes. Ovarian endometriotic cysts (endometriomas) have fibrotic walls, a smooth lining and dark brown cyst contents (chocolate cyst), often adherent to adjacent organs polypoid endometriosis has a polypoid configuration that raises the differential diagnosis of a neoplasm on gross and intraoperative examination (am j surg pathol 2004;28:285) Usually surrounded by smooth muscle. By better understanding the polymorphic appearance of endometriosis, it will improve our diagnostic potential without having to rely on pathology. Fresh air for may 13, 2021: The gross appearance of endometriotic implants typically has been described as bluish gray, dark brown, or black powder burn lesions (fig. Unfortunately, gross's health scare didn't end there. It affects 10% of women of childbearing age, and the malignant transformation rate of endometriosis is as high as 0.8% to 1.0%. There are varying degrees of the disease. But in women with de, it can present as cyclic hematuria, urinary urgency or urinary frequency, dr. Endometriosis is one cause of severe menstrual pain. But so beyond these surgeries, is there any treatment? Dysplastic and normal cervical squamous epithelium, low power microscopic.

Acog experts have been discussing how and for whom this treatment might be appropriate in women with endometriosis endometriosi. In response to hormonal shifts, these abnormal growths cause a great deal of pain and scarring within the abdominal cavity.

Posting Komentar

0 Komentar